Quiénes somos
Contando con largos años de trayectoria en el ejercicio de la profesión, podemos afirmar que nos destacamos por ejercer una sólida prestación de servicios de salud.
Actualmente estamos trabajando con el correspondiente protocolo, con turnos.
No espere a venir de urgencia con dolor, controle periódicamente su salud bucal.
Qué hacemos
- Odontología general
- Odontología general
- Blanqueamientos
- Ortodoncia
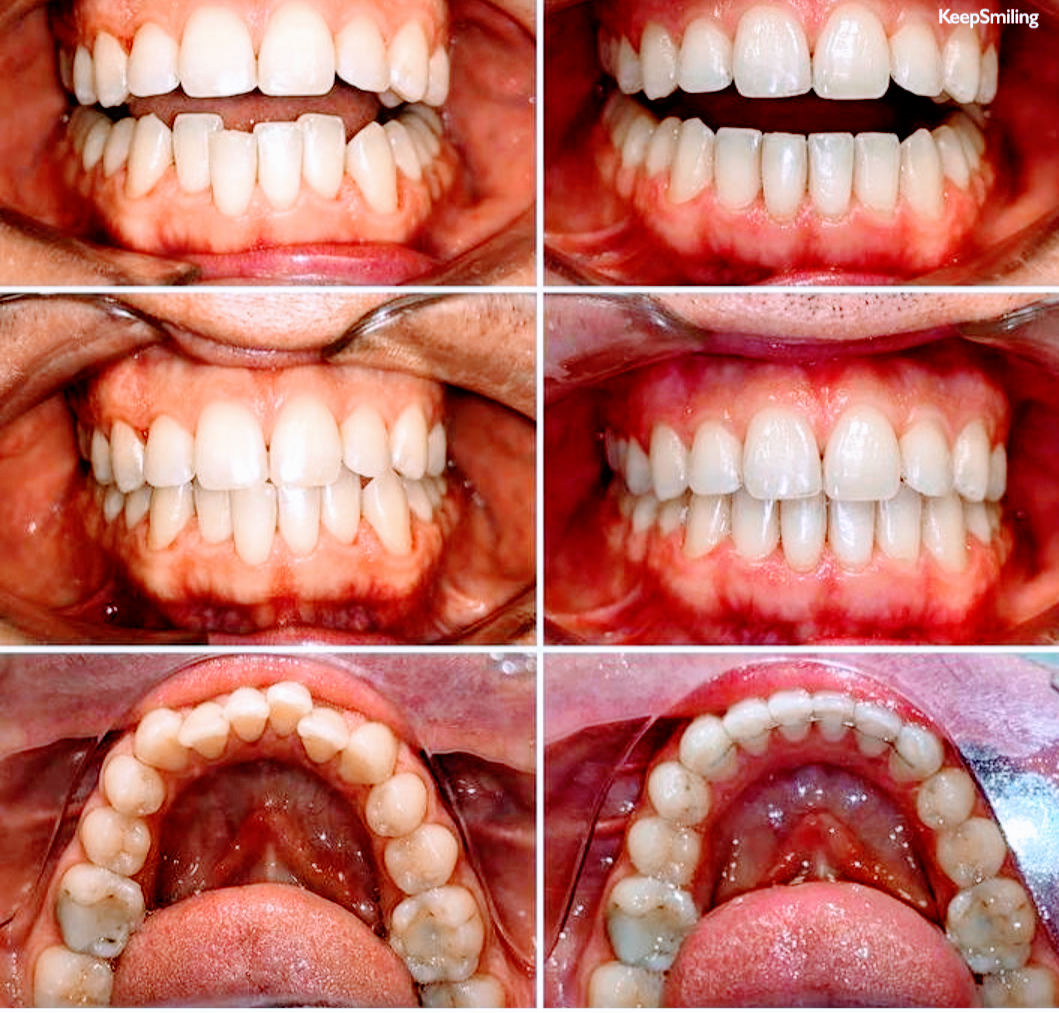
- Keepsmileng, ortodoncia invisible (se realiza a base del uso de placas)
- Carillas estéticas (carillas dúo)
- Estética facial ( aplicación de botox, ácido hialurónico )
- Prótesis fijas y removibles






